首页
搜索
分类
账户
访客
登录
购物车
收藏 (
0
)
品牌
0
购物车
0
收藏
订单
报价
首页
联系我们
0
0
登录
联系我们
商店
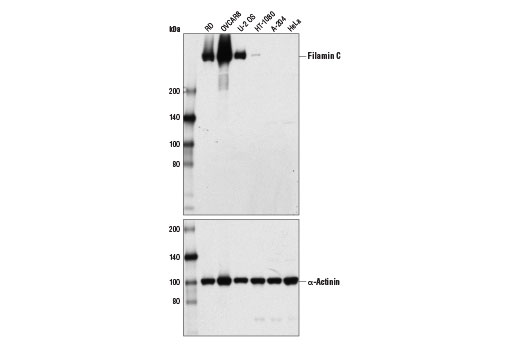
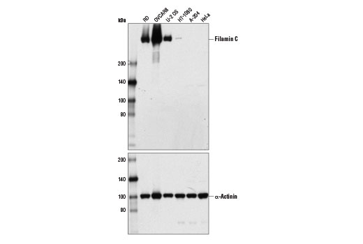
Filamin C (D1K3J) Rabbit mAb
Filamin C (D1K3J) Rabbit mAb
/shop/003-86972s-filamin-c-d1k3j-rabbit-mab-100ul-25370
期货待确认
¥
4,630.00
4630.0
CNY
¥
4,630.00
¥
4,630.00
此组合不存在。
加购物车
添加收藏
目录号:
86972S
计量单位:
PC
商品规格:
100ul
CST
分享商品:
Filamin C (D1K3J) Rabbit mAb
¥
4,630.00
规格
无规格
这是用户近期浏览商品预览.
只要用户查看过一个商品这个片断就会显示.
×
近期浏览商品