首页
搜索
分类
账户
访客
登录
购物车
收藏 (
0
)
品牌
0
购物车
0
收藏
订单
报价
首页
联系我们
0
0
登录
联系我们
商店
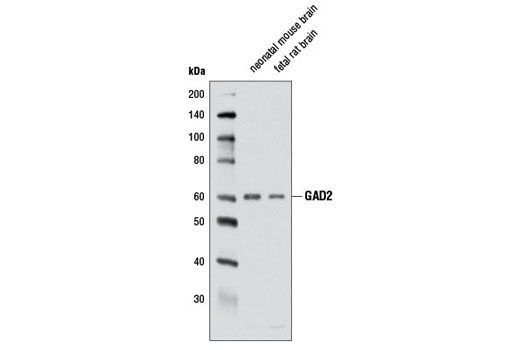
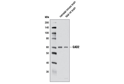
GAD2 (D5G2) XP Rabbit mAb
GAD2 (D5G2) XP Rabbit mAb
/shop/003-5843t-gad2-d5g2-xp-rabbit-mab-20ul-26261
期货待确认
¥
2,070.00
2070.0
CNY
¥
2,070.00
¥
2,070.00
此组合不存在。
加购物车
添加收藏
目录号:
5843T
计量单位:
PC
商品规格:
20ul
CST
分享商品:
GAD2 (D5G2) XP Rabbit mAb
¥
2,070.00
规格
无规格
这是用户近期浏览商品预览.
只要用户查看过一个商品这个片断就会显示.
×
近期浏览商品